• zapraszamy do SPECMED

    wielospecjalistycznego centrum diagnostycznego - Suwałki, ul. Reja 39
    do którego przenieśliśmy część gabinetów.

  • USG jamy brzusznej

    z oceną wątroby, trzustki, nerek, śledziony, pęcherza, gruczołu krokowego, dużych naczyń jamy brzusznej oraz przestrzeni okołoaortalnej.

  • USG tarczycy

    z oceną węzłów, możliwością oceny zmian w elastografii oraz przy użyciu biopsji.

  • USG węzłów chłonnych

     

  • USG piersi

    z oceną węzłów, możliwością oceny zmian w elastografii oraz przy użyciu biopsjii.

  • USG zmian tkanki podskórnej

     

  • USG ślinianek

     

  • USG jąder

     

  • USG tętnic szyjnych i kręgowych

     

  • USG doppler naczyń

    kończyn górnych i dolnych - żylnych lub tętniczych

Rejestracja telefoniczna:

605 222 288

Wizyty i badania wykonywane przez:
lek. A.Tynecki, W.Tynecki, A.Tynecka, P.Wołyniec, M.Naczas
zostały przeniesione do nowej siedziby przy ulicy Reja 39.

Wizyty i badania wykonywane przez E.Tynecką
w dalszym ciągu wykonywane są w placówce przy ulicy Minkiewicza 18.

Szybki kontakt:

gastrolog endoskopia ultrasonografia choroby zakaźne testy oddechowe elastografia urolog echo serca testy wysiłkowe EKG zaburzenia rytmu serca nadciśnienie tętnicze niewydolność serca

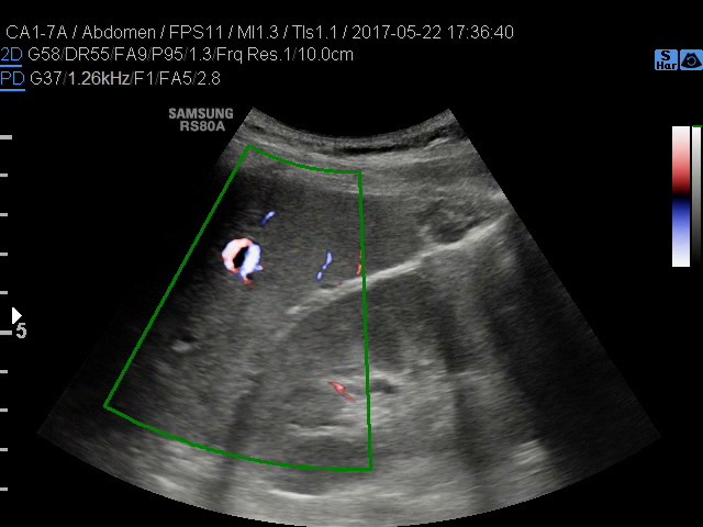
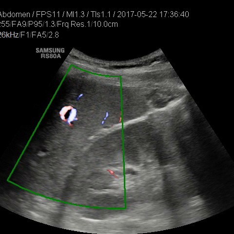
Pracownie ultrasonografii.


Gabinet prowadzi działalność w zakresie konsultacji lekarskich od 1988r. Doświadczenie w zakresie badań ultrasonograficznych lek. Andrzej Tynecki zdobywał już od roku 1986, w trakcie kursów i szkoleń w Klinice Gastroenterologii CMKP w Warszawie, a następnie w centrum Onkologii w Warszawie aż do 1995r. Zaowocowało to pojawieniem się pierwszego aparatu USG w naszym gabinecie już w roku 1992. Od tego czasu systematycznie zbieramy doświadczenie w zakresie diagnostyki ultradźwiękowej, a także konsekwentnie modernizujemy nasz sprzęt, aby diagnostyka przeprowadzona w naszych pracowniach była na najwyższym poziomie. W chwili obecnej dysponujemy ośmioma wysokiej klasy aparatami USG klasy Premium i High-End o zakresie częstotliwości głowic od 1 do 18Mhz.

Aktualnie wykonywane badania:

  • USG jamy brzusznej z oceną wątroby, trzustki, nerek, śledziony, pęcherza, gruczołu krokowego, dużych naczyń jamy brzusznej oraz przestrzeni okołoaortalnej
  • USG tarczycy
  • USG węzłów chłonnych
  • USG piersi
  • USG zmian tkanki podskórnej
  • USG ślinianek
  • USG jąder
  • USG tętnic szyjnych i kręgowych
  • USG żył kończyn górnych i dolnych
  • USG doppler tętnic kończyn górnych i dolnych
  • USG doppler aorty i naczyń biodrowych
  • USG doppler układu wrotnego

Rozszerzamy ofertę naszych pracowni:

Biopsje.


Nieodłącznym elementem diagnostyki ultrasonograficznej jest biopsja. W naszych pracowniach istnieje możliwość wykonania biopsji oraz pobrania materiału z wszelkich zmian wykrytych w trakcie poprzedzającego badania USG danej okolicy. Warunkiem wykonania zabiegu jest ocena obrazu USG oraz kwalifikacja przez osobę wykonującą zabieg - potwierdzenie bezpieczeństwa wykonania biopsji. Preparaty uzyskane w trakcie nakłucia oceniane są przez doświadczonego lekarza patomorfologa.

Aktualnie w naszej ofercie biopsji jest:

  • biopsja cienkoigłowa (BACC): piersi, tarczycy, węzłów ślinianek, tkanki podskórnej, i innych zmian,
  • biopsja gruboigłowa (14G, 16G, a także 18G, 20G): piersi, tkanki podskórnej i innych zmian.

Elastografia.


To przełomowa metoda diagnostyczna wykorzystującą fakt, że chora tkanka zmienia swoją twardość. Można powiedzieć, że elastografia jest cyfrowym rozwinięciem badania dotykiem, kiedy lekarz ocenia twardość i spoistość badanego narządu.

Elastografię proponujemy przede wszystkim w przypadkach:

  • podejrzanych zmian w tarczycy
  • podejrzanych zmian w piersiach
  • zmian miąższowych wątroby
  • oceny włóknienia wątroby (choroby wirusowe, marskość)
  • ocena stłuszczenia wątroby
  • diagnostyka NADCIŚNIENIA WROTNEGO - badanie śledziony

W wielu przypadkach elastografia pozwala uniknąć biopsji i rozwiać wątpliwości co do łagodnego, lub złośliwego charakteru zmiany. 

Badanie elastograficzne można wykonać w naszej pracowni jako rozszerzenie badania USG tarczycy i piersi (ocena guzków), a także jako samodzielne badanie – elastografia wątroby w celu oceny włóknienia(stosowana u nas metoda elastrografii 2D-SWE jest znacznie dokładniejsza od dotychczas stosowanej metody TE [FIBROSCAN®].

Przygotowanie do usg.


Jak przygotować się do badania USG:

  • jamy brzusznej i układu moczowego - należy zgłosić się na czczo (w dniu badania 6 godzin bez spożywania pokarmów, 2 godziny bez picia płynów), dodatkowo warto przygotowanie do badania USG rozpocząć już w dniu poprzedzającym, stosując np. Espumisan (3 x 2 kapsułki), lub Ulgix USG (2 kapsułki w dniu poprzedzającym wieczorem oraz 2 kapsułki rano w dniu badania). Aby dokładnie ocenić pęcherz i układ moczowy należy zgłosić się ponadto z pełnym pęcherzem. W przypadku występowania u pacjenta uporczywych zaparć warto zastosować już dwa dni przed wizytą środki wspomagające wypróżnienie,np Forlax 10g (1 saszetka rano), celem redukcji zalegania treści i gazów w jelicie.
  • pozostałe badania USG nie wymagają szczególnego przygotowania ze strony pacjenta.
  • na badanie USG piersi pacjentki mogą zgłosić się w każdej fazie cyklu, a także w trakcie karmienia piersią.
  • należy pamiętać, aby zawsze na badanie USG przynosić swoją dokumentację medyczną, w szczególności poprzednie wyniki badań obrazowych (często mieszczą się również w kartach wypisowych ze szpitala).

Kontakt.


Umawianie wizyt:

REJESTRACJA TELEFONICZNA (605 222 288) w godzinach:

  • pon 9.00 - 17.00
  • wt 9.00 - 15.00
  • śr 9.00 - 15.00
  • czw 9.00 - 15.00
  • pt 7.00 - 15.00

tel 605 222 288

W przypadkach nagłych kontakt bezpośrednio z lekarzem:
602 780 463 (A.Tynecki), 604 522 407 (E.Tynecka), 602 288 666 (W.Tynecki).


lek. Andrzej Tynecki - specjalista chorób wewnętrznych i gastroenterologii - ultrasonografia, biopsje cienkoigłowe, endoskopia, konsultacje gastrologiczne i internistyczne
SPECMED ul. Reja 39, Suwałki

602 780 463


dr.n.med Ewa Tynecka - specjalista chorób zakaźnych, internista - ultrasonografia, konsultacje internistyczne oraz z zakresu chorób zakaźnych
SPECMED ul. Minkiewicza 18, Suwałki

604 522 407


lek. Wojciech Tynecki - ultrasonografia, biopsje cienkoigłowe, wodorowe testy oddechowe
SPECMED ul. Reja 39, Suwałki

602 288 666


lek. Agata Tynecka - ultrasonografia, elastografia
SPECMED ul. Reja 39, Suwałki


lek. Paweł Wołyniec - specjalista urolog, konsultacje urologiczne, USG urologiczne
SPECMED ul. Reja 39, Suwałki

606 935 385


lek. Michał Naczas - specjalista chorób wewnętrznych, ECHO serca, testy wysiłkowe, EKG, konsultacje internistyczne z zakresu zaburzeń rytmu serca, nadciśnienia tętniczego i niewydolności serca
SPECMED ul. Reja 39, Suwałki

669 308 358


Gabinet

Gabinet Internistyczny i Gastrologiczny s.c
Andrzej Tynecki, Ewa Tynecka, Wojciech Tynecki
ul.Minkiewicza 18, 16-400 Suwałki
NIP 844-219-78-83

drtynecki@gmail.com

Wysyłanie...
Wiadomość została wysłana, dziekujemy.